首 页
学院首页
中心概况
师资队伍
虚拟仿真平台
教学标本
教学切片
网络资源
中心简介
建设目标
特色与创新
师资队伍
标本实验概述
系统病理立体标本
病理大体标本图像
动物实地解剖视频
切片实验概述
系统病理数字切片
疾病病理数字切片
教学资源
网络课程
教学资讯
行业资讯
热点文章
详细页面
当前位置:
中心首页
>>
教学切片
>>
系统病理数字切片
>>
正文
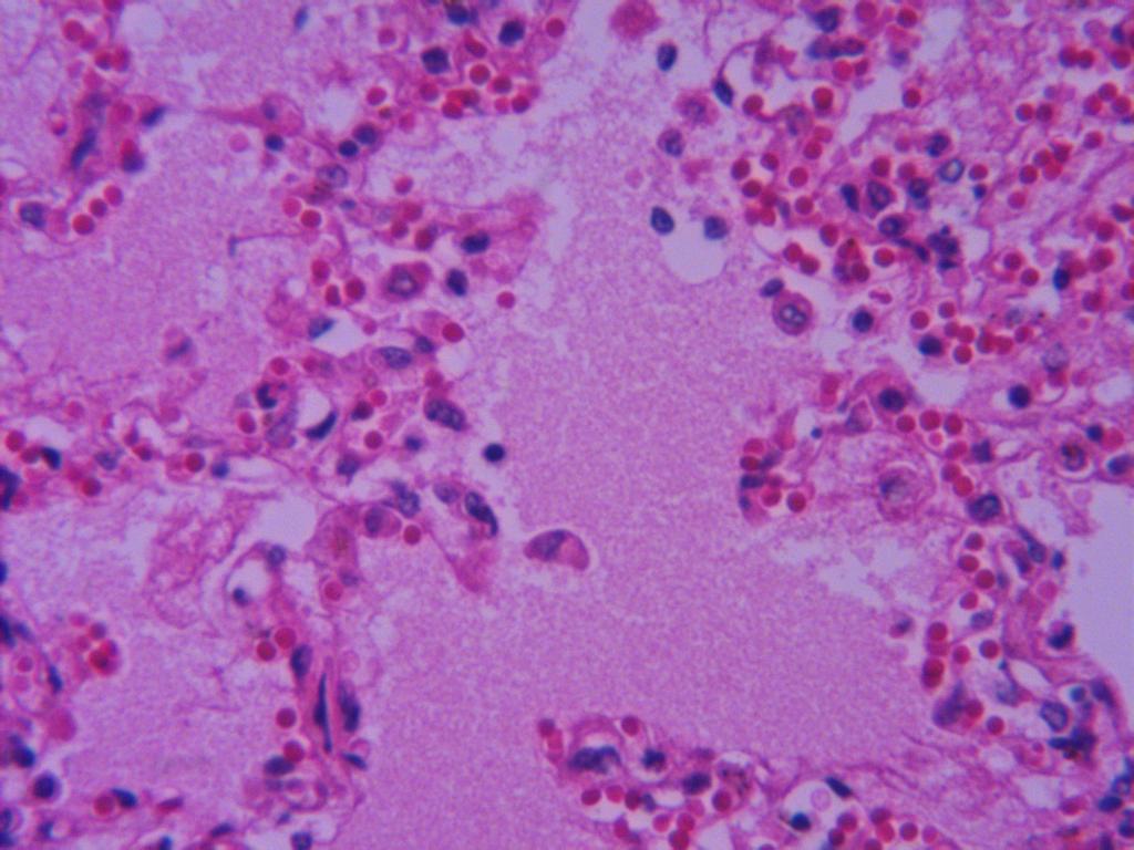
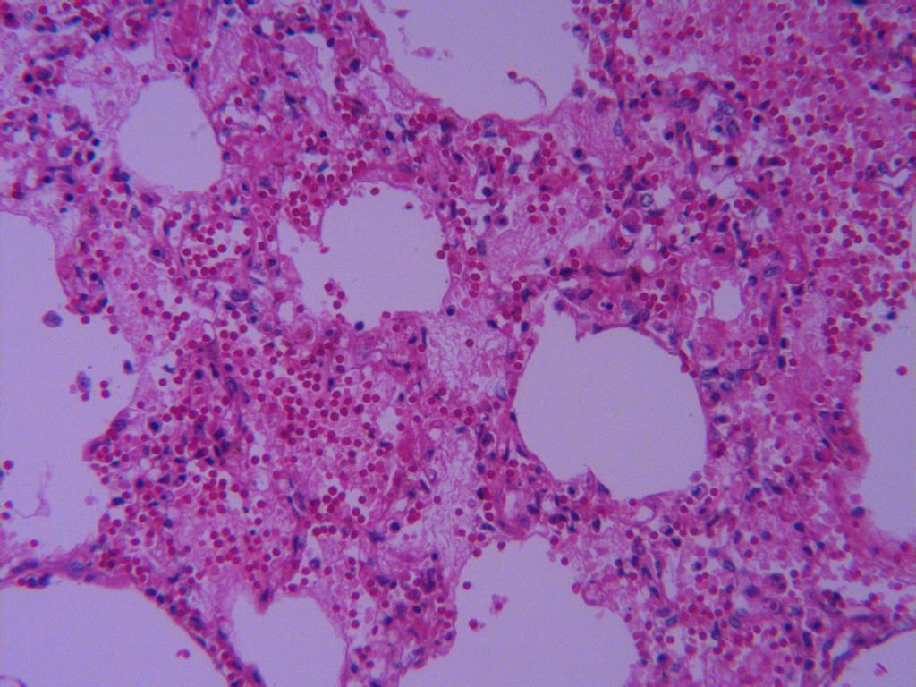
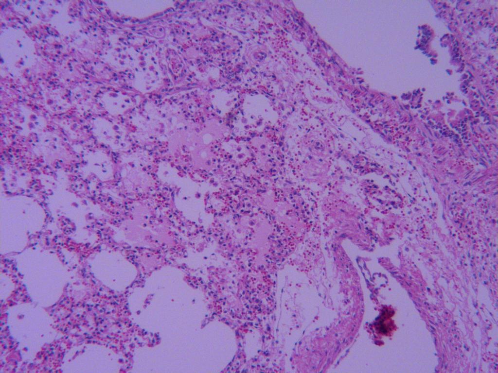
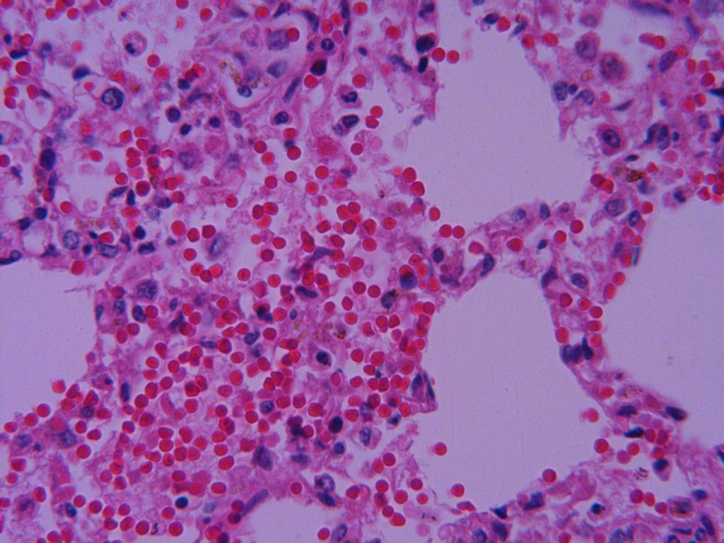
纤维素性肺炎
2019-05-15 17:14
肺泡腔有大量淡红染的浆液和纤维素,并可见数量不等的红细胞和肺泡壁上皮细胞。
肺泡腔有大量红染的浆液,肺泡壁毛细血管扩张充血。
肺泡腔有浆液和纤维素,肺泡壁毛细血管扩张充血。
肺泡壁毛细血管扩张充血
【
关闭窗口
】
网站地图
|
返回首页
|
联系我们
河南科技学院动物科技学院 地址:河南省新乡市红旗区华兰大道东段
电话:0373-3040718 邮编:453003